Case Report
This case report presents a full-arch rehabilitation of advanced, untreated periodontal disease using the All On X protocol.
Patient Presentation
A female patient presented with advanced, untreated periodontal disease and chief complaints of poor esthetics, progressive shifting of the dentition, and generalized oral discomfort. She expressed dissatisfaction with her smile, difficulty with function, and a desire for a fixed, long-term rehabilitation solution.


Chief Complaints
Clinical and Radiographic Findings
Comprehensive periodontal examination and CBCT imaging revealed:
These combined findings classified the case as highly complex, requiring meticulous planning and execution.
Diagnosis
Treatment Planning and Rationale
Given the severity of the disease and the patient’s desire for an immediate fixed solution, treatment with the All On 4 type dental implant protocol was recommended.
Overview of the All On X Protocol
The All On 4 protocol is a full-arch implant rehabilitation approach that utilizes four strategically positioned implants to support a fixed prosthesis:
This protocol is particularly effective in patients with severe periodontal destruction.
Digital Workflow and Surgical Execution




CAD software design of temporaries in-house
All phases of treatment were planned and executed using a fully digital, in-house workflow, including:
Following extractions and site preparation, four implants were placed in prosthetically driven positions. Adequate primary stability allowed for same-day delivery of a fixed provisional prosthesis.
Prosthetic Phase
Immediate and Transitional Provisional Restorations
In complex esthetic cases—particularly those involving excessive gingival display and skeletal discrepancies—a single provisional prosthesis is often insufficient to achieve the ideal outcome.



For this patient, multiple provisional (temporary) prostheses were sequentially fabricated and refined during the healing phase. These transitional restorations allowed for:
This iterative prototyping approach is critical for achieving predictable esthetic outcomes in high-risk full-arch cases.
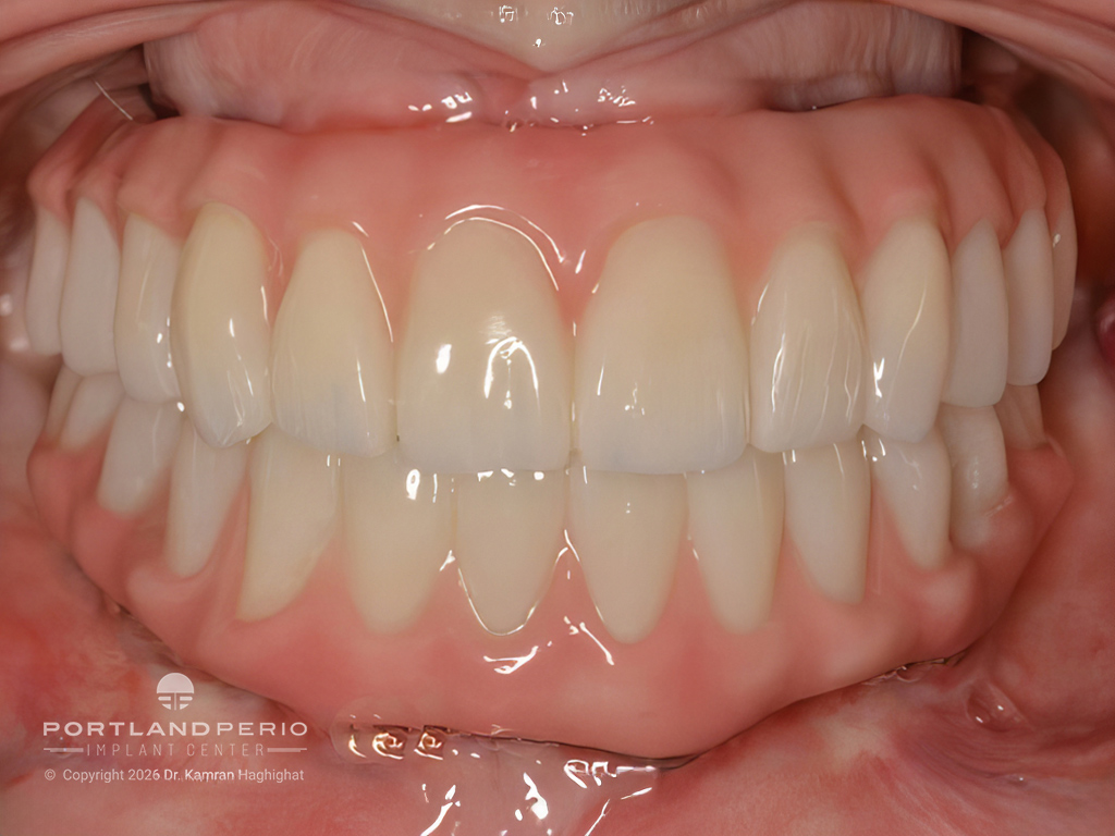
Final Prosthesis
Once implant integration, soft-tissue maturation, and esthetic parameters were optimized, the definitive restoration was fabricated.
The final prosthesis consisted of a zirconia full-arch bridge supported by a precision-milled titanium framework, providing:








Outcome
Through strategic implant placement, digital planning, and staged prosthetic refinement, we were able to:


This case demonstrates that a digitally driven All On X protocol, combined with in-house CAD/CAM capabilities and iterative provisionalization, enables predictable rehabilitation of even the most challenging periodontal cases. The ability to fabricate and refine multiple provisional prostheses before finalization is a key factor in achieving optimal esthetic and functional outcomes in full-arch implant dentistry.